Smile Gallery

At Brightway Dental, PC we are dedicated to creating lasting smiles through comprehensive care using the latest technology. We proudly offer personalized, patient-driven care focused on the health, beauty, and functionality of your teeth. Please browse our smile gallery below and contact us to schedule a smile consultation today.

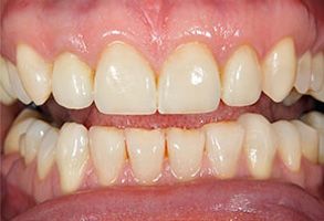
The image displays a close-up of a person s teeth, showing yellow discoloration and signs of dental decay.

Before

The image shows a close-up of a person s teeth and mouth, with the individual smiling.

After

An image of a person s teeth with a focus on the bottom row, showcasing a dental treatment or orthodontic work.

Before

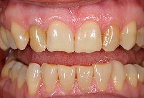
The image is a close-up photograph of an open mouth with yellowed teeth, showcasing the upper and lower dental arches.

After

The image shows a close-up of a person s face with a wide smile, revealing straight white teeth and a dimple on the chin.

Before

The image shows a close-up of a man s mouth with a wide smile, displaying his teeth and lips.

After

The image shows a close-up of a person s teeth, focusing on the lower front teeth and part of the upper lip.

Before

The image shows a close-up of a person s teeth, with a focus on the front teeth.

After

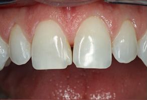
An up-close photograph of a person s teeth, showcasing a dental implant and surrounding gumline.

Before

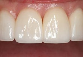
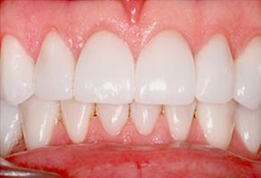
The image shows a close-up view of a person s teeth with a focus on the front teeth, which appear to be in good condition with white enamel and no visible signs of decay or damage.

After

The image shows a close-up of a person s teeth with visible staining and possibly decay, set against the background of an oral cavity.

Before

A close-up photograph of a person s teeth, showcasing a bright and clean smile with a focus on the lower front teeth.

After

The image displays a person s mouth with a set of yellowed, stained teeth that appear to be in need of dental care.

Before

The image shows a close-up of human teeth with visible yellowing and staining, indicating poor oral hygiene or the need for professional dental cleaning.

After

Get in touch

We’re always on hand to answer your questions and get back to you with a prompt response.

Submit

Thank You!

We appreciate you taking the time to visit our site. We'll review your message and be in touch with you soon.

Continue

We believe in beautiful smiles. Let's create yours!

About Us

Our goal is healthy smiles for all ages, achieved through prevention, comprehensive care, and advanced technology. Brightway Dental: Your Yorktown Heights family dentist.

Questions?